Skip to main content
PRUEBAS MIT
Presiona enter para buscar o ESC para cerrar
Close Search
search
Menu
10 Tecnologías emergentes 2025
Innovadores menores de 35 años
Temas
Inteligencia artificial
Cambio Climático y Energía
Biotecnología
Computación
Espacio
Tecnología y Sociedad
Opinión
Habla El Mercado
Síguenos
LinkedIn
Instagram
Bluesky
Facebook
search
Inteligencia artificial
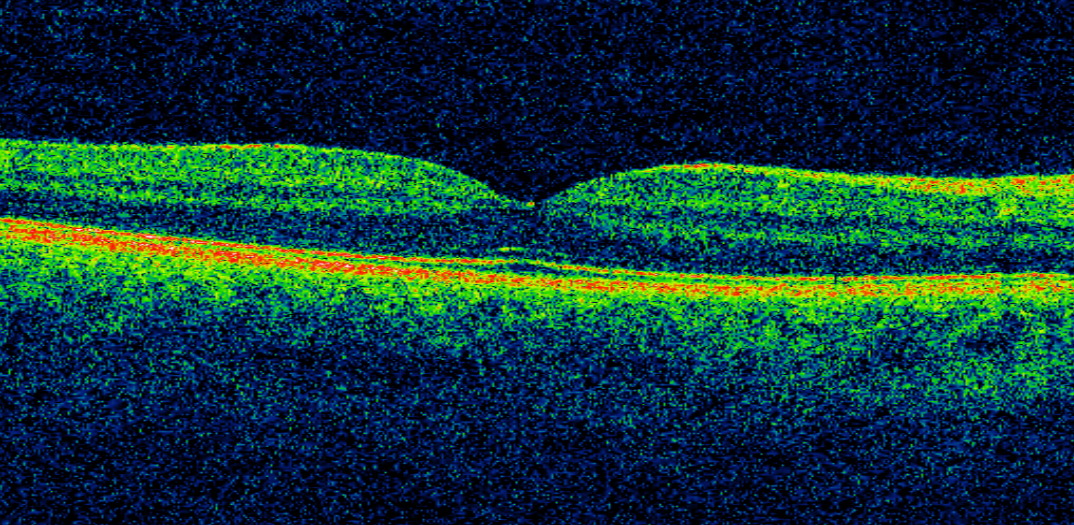
La IA de Google que venció al Go por fin hace algo útil al analizar dolencias oculares
Jamie Condliffe
07/07/2016
febrero 5th, 2025
4 min leer
You are unauthorized to view this page.
Username
Password
Remember Me
Forgot Password
Artículos Relacionados
Inteligencia artificial
Deep Research, la herramienta de OpenAI que realiza investigaciones complejas en minutos
By Rhiannon Williams
05/02/2025
Inteligencia artificial
El modelo o3-mini de OpenAI, una IA más eficiente y con capacidad de «razonar»
By Scott J. Mulligan
04/02/2025
Inteligencia artificial
DeepSeek cuestiona la idea de que la IA necesita más energía
By James O'donnell
03/02/2025
Inteligencia artificial
De la creatividad humana a la automatización: la IA agrava la precariedad en la traducción de manga
By Will Douglas Heaven
30/12/2024
Inteligencia artificial
La IA irrumpe en el ‘marketing’ digital de Latinoamérica como tendencia en alza
By Redacción
20/03/2024
Close Menu
10 Tecnologías emergentes 2025
Innovadores menores de 35 años
Temas
Inteligencia artificial
Cambio Climático y Energía
Biotecnología
Computación
Espacio
Tecnología y Sociedad
Opinión
Habla El Mercado
Síguenos
LinkedIn
Instagram
Bluesky
Facebook