Skip to main content
PRUEBAS MIT
Presiona enter para buscar o ESC para cerrar
Close Search
search
Menu
10 Tecnologías emergentes 2025
Innovadores menores de 35 años
Temas
Inteligencia artificial
Cambio Climático y Energía
Biotecnología
Computación
Espacio
Tecnología y Sociedad
Opinión
Habla El Mercado
Síguenos
LinkedIn
Instagram
Bluesky
Facebook
search
Computación
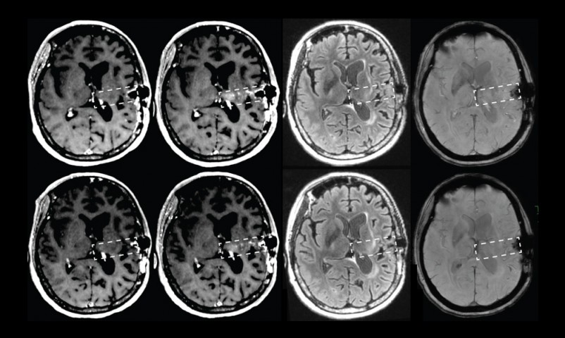
Esta máquina predice el riesgo de alzhéimer con más precisión que los médicos
Emerging Technology From The Arxiv
03/05/2017
febrero 5th, 2025
6 min leer
You are unauthorized to view this page.
Username
Password
Remember Me
Forgot Password
Artículos Relacionados
Computación
La computación cuántica se abre camino a través del ruido
By Michael Brooks
10/01/2024
Computación
TR 10: Ordenadores a exaescala
By Sophia Chen
08/01/2024
Computación
Cables submarinos para detectar tsunamis: 12 minutos que podrían salvar vidas
By Christian Elliott
27/02/2023
Computación
Todo muere, incluida la información
By Erik Sherman
02/11/2022
Computación
La corrupción desata dudas sobre el modelo chino de inversión en microchips
By Opinno Admin
09/08/2022
Close Menu
10 Tecnologías emergentes 2025
Innovadores menores de 35 años
Temas
Inteligencia artificial
Cambio Climático y Energía
Biotecnología
Computación
Espacio
Tecnología y Sociedad
Opinión
Habla El Mercado
Síguenos
LinkedIn
Instagram
Bluesky
Facebook